摘要
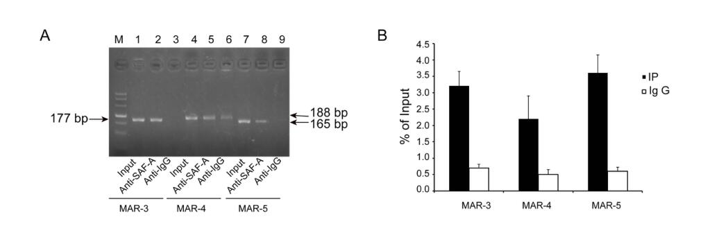
Matrix attachment regions (MARs) can mediate the replication of vector episomes in mammalian cells; however, the molecular mode of action remains unclear. Here, we assessed the characteristics of MARs and the mechanism that mediates episomal vector replication in mammalian cells. Five shortened subfragments of β-interferon MAR fragments were cloned and transferred into CHO cells, and transgene expression levels, presence of the gene, and the episomal maintenance mechanism were determined. Three shortened MAR derivatives (position 781-1320, 1201-1740, and 1621-2201) retained full MAR activity and mediated episomal vector replication. Moreover, the three shortened MARs showed higher transgene expression levels, greater efficiency in colony formation, and more persistent transgene expression compared with those of the original pEPI-1 plasmid, and three functional truncated MARs can bind to SAF-A MAR-binding protein. These results suggest that shortened MARs are sufficient for replication and maintenance of episomes in CHO cells.
合作部分结果

-
伯信合作技术:ChIP



